Dental ImplantsA Lifetime of Confidence in Your Smile
Regain your smile and function with reliable, natural looking dental implants.
Restore Your SmileWith Our Implant Dentistry
Lifetime Results
Dental implants provide a durable, lasting solution to restore both function and aesthetics to your smile.
Precision and Expertise
Our skilled team ensures every implant is placed with care, for a comfortable fit and natural appearance.
Dental implants restore missing teeth with natural-looking, durable replacements. Enjoy the confidence to eat, speak, and smile, supported by our personalized care every step of the way.
Want To Find Us?
Our dental clinic is conveniently located with easy access and dedicated parking.
Explore Our
Implants
Single Tooth Implants
Restore a single missing tooth with a secure, natural-looking replacement.
Multiple Tooth Implants
Replace multiple missing teeth with durable implants that support oral health.
All-on-4 Implants
Achieve a full-arch restoration with four precisely placed implants for stability.
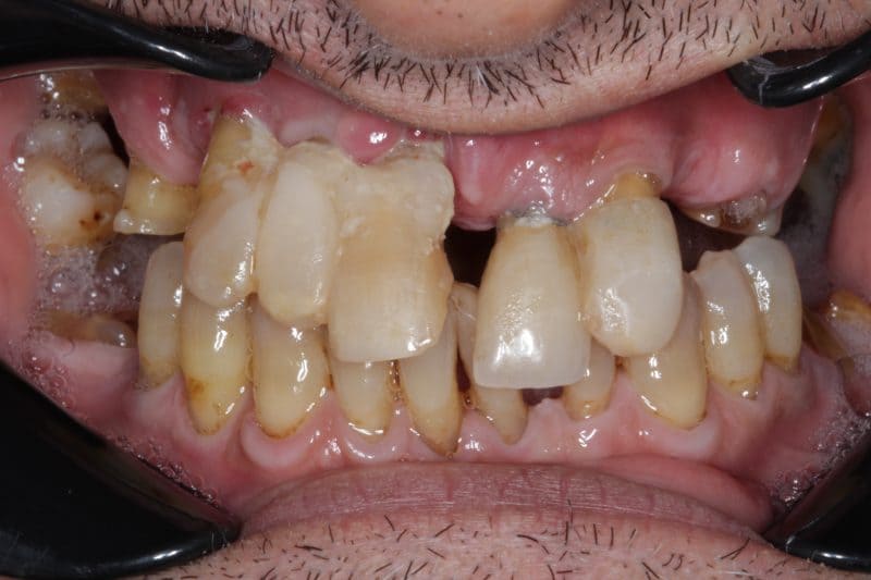
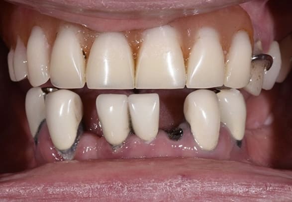
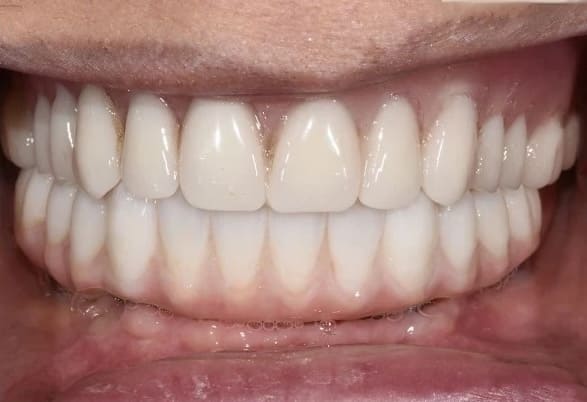
Scroll down to see our amazing implant transformations ↓
Why Choose
Dental Implants?
Long Term Durability
Dental implants are designed to last a lifetime with proper care, offering unmatched value.
Support Bone Health
Preserve jawbone integrity and prevent bone loss by stimulating natural bone growth.
Seamless Functionality
Enjoy the comfort and reliability of implants that look, feel, and function like natural teeth.
Your Path To A Healthier Smile
Begins Here
Regain your smile and confidence with dental implants that restore both function and aesthetics.



